Introdução: A implementação de medidas políticas para a cessação tabágica levou à dimin...

ler artigo

As proteínas de transferência de lípidos [lipid transfer proteins (LTP)] são proteínas presentes em alimentos vegetais e pólen...

ler artigo

Apresenta-se o caso de um homem de 39 anos, ex-fumador, sem outros fatores de risco conhecidos. Foi encaminhado à consulta de Medicina Interna para estudo de tr...

ler artigo

Introdução: O objetivo deste estudo foi traduzir e validar para português europeu a CAPS-CA-5 (Clinician Administered PTSD Scale f...

ler artigo

A neurofibromatose tipo 1 (NFT1) é uma doença causada por mutações no gene supressor de tumor NF1. Está associada a uma maior incid&...

ler artigo

Introdução: No ano de 2020, os serviços de medicina intensiva sofreram profundas adaptações e reestruturaç&o...

ler artigo

Introdução: A ingestão de Anisakis é uma causa frequente de alergia a pescado, em países onde o hábito de in...

ler artigo

Introdução: A pandemia por COVID-19 conduziu ao cancelamento de cuidados de saúde e à diminuição da sua proc...

ler artigo

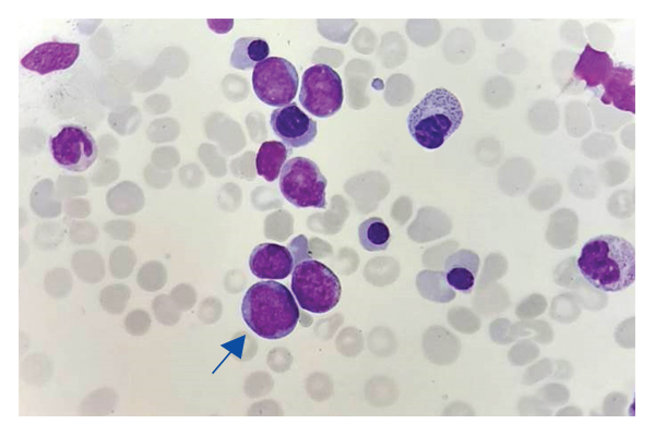
A leucemia mielóide aguda (LMA) é uma neoplasia hematológica caracterizada pela proliferação clonal, com incidência crescente ...

ler artigo

Este site utiliza cookies para permitir uma melhor experiência por parte do utilizador. Ao navegar no site estará a consentir a sua utilização.