Introdução: A anemia e ferropenia estão associadas a um aumento da mortalidade e a piores resultados no período pós...

ler artigo

Os inibidores da enzima de conversão da angiotensina (iECAs) são amplamente usados no tratamento de várias patologias como a hipertensão ar...

ler artigo

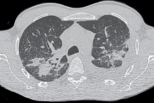
O género Pandoraea é constituído por bacilos Gram-negativo não fermentadores multirresistentes, maioritariamente isolados em amost...

ler artigo

Introdução: O teste de avaliação da doença pulmonar obstrutiva crónica (CAT) é um questionário...

ler artigo

O linfoma anaplásico de grandes células associado aos implantes mamários é um linfoma T CD30 positivo raro, cuja incidência tem aumen...

ler artigo

Desde a Revolução Industrial que a atividade humana altera o ambiente terrestre de forma cada vez mais significativa. Em particular, as emissões d...

ler artigo

Apresentamos o caso de um homem de 33 anos que trabalhava como canalizador e serralheiro. Apresentava mialgias e astenia, esclerose cutânea e puffy fingers, fen&...

ler artigo

A 22-year-old man presented with a three-week history of an indurated, mildly painful erythematous plaque on the balanoprepucial groove (Fig. 1). Non-tender inguinal l...

ler artigo

Introdução: A evidência internacional tem demonstrado desigualdades sociais no risco de morte por SARS-CoV-2 (COVID-19). Em Portug...

ler artigo

Este site utiliza cookies para permitir uma melhor experiência por parte do utilizador. Ao navegar no site estará a consentir a sua utilização.