The possibility of a second wave of the COVID-19 pandemic coexisting with a simultaneous epidemic of influenza and the co-circulation of other seasonal respiratory vir...

read article

DiGeorge Syndrome is a group of diseases caused by a microdeletion, and some of its most frequent symptoms are those related with development and behavior. We present ...

read article

Neuroleptic malignant syndrome is a neurological emergency caused by dysregulation of dopaminergic neurotransmission. While it is typically characterized by muscle rig...

read article

Introduction: Endosalpingiosis is a rare benign condition characterized by the presence of tubal epithelium outside the Fallopian tube. The clinical p...

read article

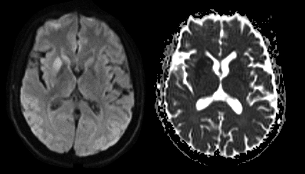
Creutzfeldt-Jakob disease typically presents as rapidly progressive dementia. We describe the case of a 59-year-old male patient presenting with sudden onset of centra...

read article

A 22-year-old female patient, with no relevant medical history complained about the shape of her breasts, which had been the source of her low self-esteem since early ...

read article

In obsessive-compulsive disorder, pedophilia-themed obsessions-distressing intrusive thoughts about being sexually attracted to, or sexually abusing, children-are the ...

read article

Papillary carcinoma of the breast is a rare type of breast malignancy, making up less than 2% of breast cancers, and only some are encapsulated papillary carcinoma. Us...

read article

Gynecomastia is a frequent sign that may be physiological or caused by various benign or malignant diseases. In rare cases, it may be caused by testicular tumors. We d...

read article

Este site utiliza cookies para permitir uma melhor experiência por parte do utilizador. Ao navegar no site estará a consentir a sua utilização.