Pandoraea species are a newly described genus of multidrug-resistant, non-fermentative Gram-negative bacilli, mainly isolated from sputum samples of cystic fi...

read article

Introduction: The chronic obstructive pulmonary disease assessment test (CAT) is a self-administered questionnaire that measures health-related q...

read article

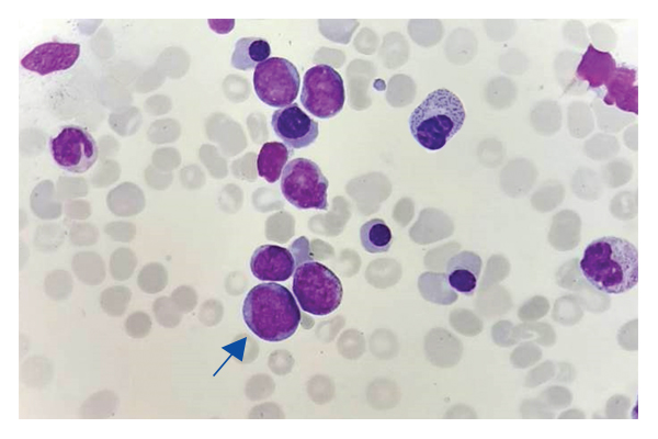
Breast implant-associated anaplastic large cell lymphoma (BIA-ALCL) is a rare CD30 positive T cell lymphoma whose incidence has recently increased. Until 2020, 733 cas...

read article

Desde a Revolução Industrial que a atividade humana altera o ambiente terrestre de forma cada vez mais significativa. Em particular, as emissões d...

read article

We present a case of a 33-year-old male who worked as a plumber and a locksmith. The patient presented with diffuse myalgia and asthenia, skin sclerosis and puffy fing...

read article

A 22-year-old man presented with a three-week history of an indurated, mildly painful erythematous plaque on the balanoprepucial groove (Fig. 1). Non-tender inguinal l...

read article

Introduction: International evidence has unveiled the existence of social inequalities in the risk of death associated with SARS-CoV-2 (COVID-19). In ...

read article

The World Health Organisation (WHO) declared COVID-19 as a pandemic on the 11th of March 2020. Soon after, the Coronavirus Global Response was initiated to kick-start ...

read article

Dear editor, I read with pleasure the reply to my recent letter, by Martinho and Carvalheiro. 
I could not agree more. Of course, pseudo-schizophrenia and ...

read article

Este site utiliza cookies para permitir uma melhor experiência por parte do utilizador. Ao navegar no site estará a consentir a sua utilização.