Next-generation sequencing (NGS) has been implemented in clinical oncology for diagnosis, prognosis, and therapeutic guidance. Among the various NGS applications in mo...

read article

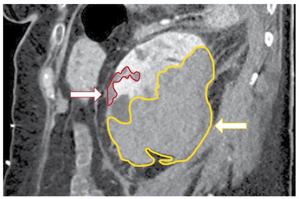
Wunderlich syndrome is a rare and possibly life-threatening haemorrhagic syndrome presenting as spontaneous nontraumatic renal rupture with subcapsular and perinephric...

read article

Dear Editor,
Since the first international alert on the 5th April 2022 and the ongoing news, probable cases of hepatitis of unknown origin have been reported in...

read article

Introduction: Screening instruments specifically developed to identify genetic testing applicants who may need professional psychosocial support are m...

read article

Introduction: Evaluating the impact of surgical treatment on health-related quality of life of breast cancer patients has become increasingly relevant...

read article

Introduction: On the 11th March 2020, the World Health Organization declared the novel coronavirus outbreak as a pandemic. Preventive measures such as...

read article

Introduction: There is a paucity of quantitative studies objectively comparing debriefing and feedback as methods for post-scenario discussion and its...

read article

Heterotopic ossification (HO) is a well-known complication following total hip arthroplasty (THA), with an average incidence of 30%. Patients are classified according ...

read article

A 34-year-old man with untreated HIV-1 infection was admitted due to obstructive jaundice and progressive, nontender swelling in the left axillary region. The HIV vira...

read article

Este site utiliza cookies para permitir uma melhor experiência por parte do utilizador. Ao navegar no site estará a consentir a sua utilização.